Enable JavaScript to ensure website accessibility

Common Treatments

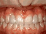
Crowding of the teeth

Before
After

Treatment consisted of wearing braces for 26 months beginning at the age of 11. He loves to show off his new smile!

 

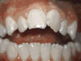
Open bite – Front teeth don’t touch

Before
After

The patient’s teeth were deformed from thumb sucking as a young child. Her treatment began at age 13 and consisted of braces and a crib (a special appliance to retrain the tongue). After 28 months of treatment, she can bite the thinnest of foods without a problem.

 

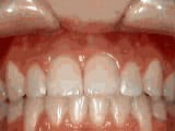
Deep overbite – Lower front teeth bite into palate

Before
After

This patient began treatment as an adult at the age of 25. His treatment plan took two years to complete and consisted of braces and jaw surgery to correct his severe overbite. If this patient had been treated as a child, his problem could have been corrected without surgery.

 

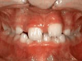
Missing lateral incisors

Before
After

This patient was missing her lateral incisors due to a congenital condition. She wore braces for 20 months to shift her teeth into their ideal positions. Once that process was completed, the missing teeth were replaced with bonded “Maryland” bridges.

 

Underbite – Lower front teeth in front of upper teeth

Before
After

The patient was experiencing jaw joint discomfort and excessive wear patterns on her teeth due to an underbite. Her treatment started at the age of 32, lasted 30 months, and was a complete success. She can now smile and chew with ease.

 

Spacing of teeth

Before
After

The patient was uncomfortable with the spacing of his teeth. He wore braces for 24 months to close the spaces and give him the ideal bite. He wears special glued-in retainers to maintain the spaces closed.

 

Overjet – Protruding front teeth

Before
After

This patient had two phases of treatment. She began the first phase at age ten when she had a big overjet with the top teeth protruding beyond the bottom. During this first phase of treatment, the doctor helped guide her jaws to grow more harmoniously. The second phase of treatment aligned her teeth and bite. At age 13, she is done with treatment and proud to show off her new and improved smile.

 

Non-braces treatment

Before
After

In some cases, patients may be able to achieve noticeable improvements in tooth alignment without ever wearing braces. This patient was first seen at age seven for crowding of the lower permanent teeth. A procedure was performed to reduce the width of the adjacent baby teeth and the permanent incisors aligned on their own in nine months.

 

Phase-One

Before
After

This patient was first seen at the age of 8 out of concern from his parents regarding the appearance and health of his erupting permanent teeth. The lower front teeth were crowded and touching the palate while the upper front teeth were extremely displaced from their normal positions. Phase-one treatment lasted for 12 months and consisted of an expander and partial braces. Today, the patient’s appearance and dental function are vastly improved.